Web Stories

Hình ảnh bệnh lao hạch - Cách phân biệt với các loại u hạch

Hình ảnh bệnh lao hạch - Cách phân biệt với các loại u hạch

Xem các hình ảnh bệnh lao hạch để nhận biết dấu hiệu sớm. Bài viết cung cấp thông tin y khoa về triệu chứng, nguyên nhân và các phương pháp điều trị hiệu quả.

Hình ảnh bệnh viêm loét dạ dày - Các ổ loét qua ảnh nội soi

Hình ảnh bệnh viêm loét dạ dày - Các ổ loét qua ảnh nội soi

Xem hình ảnh bệnh viêm loét dạ dày qua nội soi và tìm hiểu về vi khuẩn HP, triệu chứng, chế độ ăn và cách điều trị. Bảo vệ sức khỏe hệ tiêu hóa của bạn ngay!

Bộ ảnh về các giai đoạn phát triển của bệnh bạch biến

Bộ ảnh về các giai đoạn phát triển của bệnh bạch biến

Xem ngay hình ảnh bệnh bạch biến rõ nét để nhận biết sớm. Bài viết cung cấp thông tin đầy đủ về nguyên nhân, dấu hiệu và cách điều trị hiệu quả từ chuyên gia Da liễu.

Bộ ảnh thực tế về bệnh sốt siêu vi ở trẻ em và người lớn

Bộ ảnh thực tế về bệnh sốt siêu vi ở trẻ em và người lớn

Nhận biết bệnh qua hình ảnh bệnh sốt siêu vi và các triệu chứng đi kèm. Bài viết giúp phân biệt với sốt xuất huyết và cung cấp cách chăm sóc đúng cách tại nhà.

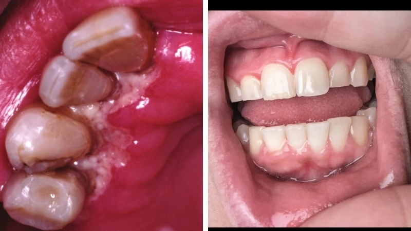
Top những hình ảnh về các cấp độ của bệnh viêm nướu

Top những hình ảnh về các cấp độ của bệnh viêm nướu

Xem ngay các hình ảnh bệnh viêm nướu để nhận biết sớm các dấu hiệu nguy hiểm. Hiểu rõ triệu chứng, nguyên nhân và cách điều trị viêm nướu hiệu quả.

Album ảnh phân biệt các loại sâu răng và vị trí thường gặp

Album ảnh phân biệt các loại sâu răng và vị trí thường gặp

Xem ngay hình ảnh bệnh sâu răng qua từng giai đoạn để nhận biết sớm. Bài viết cung cấp thông tin y khoa về nguyên nhân, triệu chứng và cách phòng ngừa hiệu quả.

Hình ảnh bệnh mụn trứng cá - Nhận biết các loại mụn thường gặp

Hình ảnh bệnh mụn trứng cá - Nhận biết các loại mụn thường gặp

Xem hình ảnh bệnh mụn trứng cá để phân biệt các loại mụn và tìm hiểu nguyên nhân. Bài viết cung cấp cách điều trị hiệu quả cho mụn viêm, mụn ẩn.

Hình ảnh bệnh đau dạ dày - Các tổn thương qua nội soi

Hình ảnh bệnh đau dạ dày - Các tổn thương qua nội soi

Xem các hình ảnh bệnh đau dạ dày để nhận biết sớm triệu chứng. Bài viết cung cấp thông tin y khoa về nguyên nhân do vi khuẩn HP, trào ngược và cách phòng ngừa.

Hình ảnh bệnh gan - Dấu hiệu cảnh báo không thể bỏ qua

Hình ảnh bệnh gan - Dấu hiệu cảnh báo không thể bỏ qua

Xem các hình ảnh bệnh gan thực tế để nhận biết sớm dấu hiệu xơ gan, gan nhiễm mỡ. Bài viết cung cấp thông tin y khoa về triệu chứng và cách bảo vệ lá gan.

Hình ảnh bệnh đau mắt hột - Nhận biết các giai đoạn của bệnh

Hình ảnh bệnh đau mắt hột - Nhận biết các giai đoạn của bệnh

Xem ngay hình ảnh bệnh đau mắt hột để nhận biết sớm các triệu chứng do vi khuẩn Chlamydia trachomatis. Đừng bỏ lỡ thông tin y khoa quan trọng để phòng ngừa

Bộ ảnh về các tổn thương da và thần kinh do bệnh phong cùi

Bộ ảnh về các tổn thương da và thần kinh do bệnh phong cùi

Cung cấp hình ảnh bệnh phong cùi chân thực, giúp bạn hiểu rõ nguyên nhân từ vi khuẩn Hansen, dấu hiệu và khẳng định rằng bệnh phong hoàn toàn có thể chữa khỏi.

Hình ảnh bệnh lang beng - Nhận biết các đốm trắng trên da

Hình ảnh bệnh lang beng - Nhận biết các đốm trắng trên da

Xem ngay hình ảnh bệnh lang beng và bí quyết điều trị hiệu quả! Bài viết cung cấp thông tin y khoa chuẩn xác về nguyên nhân, dấu hiệu và cách phòng ngừa, giúp bạn lấy lại làn da khỏe đẹp.

Hình ảnh Rhymastic độc đáo thể hiện cá tính âm nhạc

Hình ảnh Rhymastic độc đáo thể hiện cá tính âm nhạc

Khám phá bộ sưu tập ảnh Rhymastic cực chất, từ sân khấu đến đời thường, thể hiện trọn vẹn cá tính và phong cách của rapper tài năng này.

Hình ảnh bệnh máu khó đông và các nguy cơ chảy máu nội tạng

Hình ảnh bệnh máu khó đông và các nguy cơ chảy máu nội tạng

Bài viết cung cấp hình ảnh bệnh máu khó đông và thông tin y khoa chi tiết. Hiểu rõ nguyên nhân, triệu chứng và các phương pháp chẩn đoán bệnh Hemophilia.

Nhận biết sớm qua hình ảnh bệnh còi xương ở trẻ

Nhận biết sớm qua hình ảnh bệnh còi xương ở trẻ

Tổng hợp hình ảnh bệnh còi xương ở trẻ và người lớn. Tìm hiểu nguyên nhân, dấu hiệu như rụng tóc vành khăn, và các giải pháp dinh dưỡng, phòng ngừa hiệu quả.

Hình ảnh bệnh dại ở người và các dấu hiệu co giật, sợ nước

Hình ảnh bệnh dại ở người và các dấu hiệu co giật, sợ nước

Bài viết cung cấp các hình ảnh bệnh dại và thông tin y khoa về triệu chứng, phòng ngừa. Hiểu rõ nguy cơ để bảo vệ bản thân và gia đình khỏi căn bệnh tử vong này.

Hình ảnh bệnh herpes và các cụm mụn nước ở môi và sinh dục

Hình ảnh bệnh herpes và các cụm mụn nước ở môi và sinh dục

Xem ngay hình ảnh bệnh Herpes để nhận biết sớm các dấu hiệu. Hiểu rõ về virus HSV, mụn rộp sinh dục và các phương pháp điều trị y khoa hiệu quả nhất hiện nay.

Phân biệt hình ảnh bệnh trái rạ và bệnh tay chân miệng

Phân biệt hình ảnh bệnh trái rạ và bệnh tay chân miệng

Xem ngay hình ảnh bệnh trái rạ rõ nét nhất và tìm hiểu về dấu hiệu, cách điều trị và phòng ngừa bệnh thủy đậu hiệu quả từ chuyên gia y tế.

Hình ảnh bệnh tan máu bẩm sinh - Dấu hiệu vàng da

Hình ảnh bệnh tan máu bẩm sinh - Dấu hiệu vàng da

Cung cấp bộ hình ảnh bệnh tan máu bẩm sinh (Thalassemia) và các thông tin quan trọng. Giúp nhận biết triệu chứng, hiểu về xét nghiệm và cách phòng ngừa hiệu quả.

Nhận biết sớm qua hình ảnh bệnh kawasaki ở trẻ dưới 5 tuổi

Nhận biết sớm qua hình ảnh bệnh kawasaki ở trẻ dưới 5 tuổi

Xem ngay các hình ảnh bệnh Kawasaki để nhận biết sớm các triệu chứng nguy hiểm ở trẻ. Hiểu rõ dấu hiệu, biến chứng và cách điều trị kịp thời.

Hình ảnh bệnh hủi - Hiểu đúng về bệnh phong hiện nay

Hình ảnh bệnh hủi - Hiểu đúng về bệnh phong hiện nay

Bài viết cung cấp hình ảnh bệnh hủi (bệnh phong) và thông tin y khoa chính xác. Hiểu rõ nguyên nhân, triệu chứng và các phương pháp điều trị hiện đại để xóa bỏ kỳ thị.