Top những hình ảnh về các cấp độ của bệnh viêm nướu

Xem ngay các hình ảnh bệnh viêm nướu để nhận biết sớm các dấu hiệu nguy hiểm. Hiểu rõ triệu chứng, nguyên nhân và cách điều trị viêm nướu hiệu quả.


  • Cập nhật: 07-10-2025

Đừng bỏ qua những hình ảnh bệnh viêm nướu cảnh báo này! Nhận biết sớm có thể giúp bạn tránh được tình trạng viêm nha chu và nguy cơ mất răng vĩnh viễn.

Nguyên nhân chính gây ra bệnh viêm nướu là gì?

  • Nguyên nhân hàng đầu là do mảng bám vi khuẩn tích tụ dọc theo viền nướu, gây kích ứng, sưng viêm nếu không được vệ sinh răng miệng đúng cách.
  • Sự thay đổi nội tiết tố trong cơ thể ở các giai đoạn như dậy thì, mang thai, hoặc mãn kinh cũng có thể khiến nướu trở nên nhạy cảm và dễ bị viêm hơn.
  • Các yếu tố khác như hút thuốc lá, bệnh tiểu đường không kiểm soát, hoặc sử dụng một số loại thuốc cũng là nguyên nhân gây viêm nướu phổ biến.
Một trong những nguyên nhân gây viêm nướu là do mảng bám tích tụ.
Một trong những nguyên nhân gây viêm nướu là do mảng bám tích tụ.

Các triệu chứng chính của bệnh viêm nướu cần chú ý

  • Triệu chứng viêm nướu dễ nhận thấy nhất là nướu chuyển từ màu hồng nhạt sang đỏ thẫm, sưng phồng và rất dễ chảy máu khi bạn đánh răng hoặc dùng chỉ nha khoa.
  • Hơi thở có mùi hôi khó chịu kéo dài ngay cả sau khi đã vệ sinh răng miệng, và có thể xuất hiện cảm giác đau nhức âm ỉ ở vùng nướu bị viêm.
  • Nếu không điều trị, nướu sẽ bắt đầu tụt ra khỏi răng, tạo thành các túi nha chu, tạo điều kiện cho bệnh tiến triển thành viêm nha chu, gây nguy cơ mất răng.

Làm thế nào để phòng ngừa bệnh viêm nướu hiệu quả?

  • Thực hành vệ sinh răng miệng kỹ lưỡng hàng ngày, bao gồm chải răng ít nhất hai lần và sử dụng chỉ nha khoa để loại bỏ mảng bám ở kẽ răng.
  • Áp dụng một số cách chữa viêm nướu tại nhà ở giai đoạn nhẹ như súc miệng bằng nước muối sinh lý hoặc sử dụng nước súc miệng trị viêm nướu chuyên dụng.
  • Duy trì chế độ ăn uống cân bằng, hạn chế đường và tinh bột, đồng thời đi khám nha khoa định kỳ 6 tháng/lần để cạo vôi răng và kiểm tra sức khỏe nướu.

>>> Khám phá thêm: Hình ảnh bệnh sâu răng qua các giai đoạn và cách phòng ngừa

Top hình ảnh bệnh viêm nướu giúp nhận biết bệnh

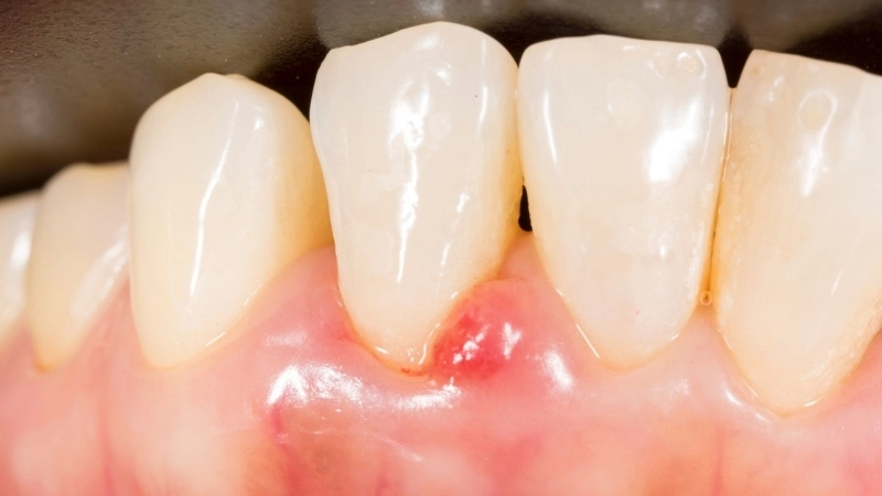
Chảy máu chân răng do viêm nướu
Chảy máu chân răng do viêm nướu
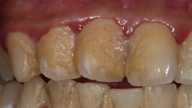
Nướu sưng đỏ, dấu hiệu của bệnh viêm nướu
Nướu sưng đỏ, dấu hiệu của bệnh viêm nướu
Hình ảnh tình trạng viêm lợi trùm ở răng khôn
Hình ảnh tình trạng viêm lợi trùm ở răng khôn
Sử dụng nước súc miệng trị viêm nướu đúng cách
Sử dụng nước súc miệng trị viêm nướu đúng cách
Minh họa nguyên nhân gây viêm nướu chính
Minh họa nguyên nhân gây viêm nướu chính
So sánh giữa viêm nướu và viêm nha chu
So sánh giữa viêm nướu và viêm nha chu
Giải đáp: Viêm nướu có nguy hiểm không?
Giải đáp: Viêm nướu có nguy hiểm không?
Các loại thuốc trị viêm nướu được bác sĩ khuyên dùng
Các loại thuốc trị viêm nướu được bác sĩ khuyên dùng

>>> Xem thêm ảnh: Bệnh đau dạ dày- Hình ảnh và các triệu chứng thường gặp nhất

Nhận biết sớm qua hình ảnh và triệu chứng là rất quan trọng. Nếu bạn có các dấu hiệu trên, hãy thăm khám nha sĩ để được tư vấn và điều trị, tránh các biến chứng nặng hơn.

>>> Thêm hình ảnh để khám phá: Hình ảnh các loại mụn trứng cá và cách phân biệt chính xác


Hùng Nguyên

Khám phá bộ sưu tập ảnh bệnh của Hùng Nguyên với hình ảnh minh họa chi tiết, chân thực và có giá trị tham khảo, giúp người xem hiểu rõ hơn về các triệu chứng và kiến thức y học.


Để Lại Bình Luận Của Bạn

Địa chỉ email của bạn sẽ không được công bố. Các trường bắt buộc được đánh dấu *
×
Ảnh toàn màn hình