Hình ảnh bệnh paget - Tổn thương xương qua từng giai đoạn

Tổng hợp hình ảnh bệnh Paget giúp phân biệt giữa Paget Vú và Paget Xương. Hiểu rõ triệu chứng, mức độ nguy hiểm và các phương pháp điều trị.


  • Cập nhật: 09-10-2025

Phát hiện thay đổi bất thường ở vú hoặc đau xương không rõ nguyên nhân? Đừng bỏ qua! Bài viết này cung cấp hình ảnh và thông tin y khoa giúp bạn phân biệt rõ hai loại bệnh Paget.

Nguyên nhân chính gây ra bệnh Paget là gì?

  • Nguyên nhân của bệnh Paget vú là do các tế bào ung thư từ một khối u bên trong ống dẫn sữa di chuyển ra da núm vú và quầng vú.
  • Đối với bệnh Paget xương, nguyên nhân chưa rõ ràng nhưng yếu tố di truyền đóng vai trò quan trọng, với khoảng 15-40% bệnh nhân có tiền sử gia đình.
  • Một giả thuyết khác cho rằng virus (như sởi) có thể lây nhiễm vào các tế bào xương ở giai đoạn đầu đời, kích hoạt bệnh khởi phát nhiều năm sau đó.
Hình ảnh lâm sàng điển hình giúp nhận biết triệu chứng bệnh Paget.
Hình ảnh lâm sàng điển hình giúp nhận biết triệu chứng bệnh Paget.

Các triệu chứng chính của bệnh Paget cần chú ý

  • Triệu chứng bệnh Paget vú bao gồm núm vú hoặc quầng vú bị đỏ, đóng vảy, ngứa, có cảm giác châm chích, tương tự như bệnh chàm (eczema).
  • Triệu chứng bệnh Paget xương phổ biến nhất là đau xương. Xương có thể bị biến dạng, cong vẹo, dễ gãy và gây chèn ép các dây thần kinh.
  • Các triệu chứng khác có thể bao gồm da ấm hơn ở vùng xương bị ảnh hưởng, đau đầu, giảm thính lực nếu bệnh Paget ảnh hưởng đến xương sọ.

Làm thế nào để điều trị và quản lý bệnh Paget hiệu quả?

  • Với Paget vú, cách điều trị bệnh Paget thường là phẫu thuật cắt bỏ khối u hoặc toàn bộ vú, có thể kết hợp xạ trị, hóa trị hoặc liệu pháp nội tiết.
  • Điều trị Paget xương tập trung vào việc dùng thuốc nhóm bisphosphonate để làm chậm quá trình tái tạo xương, kết hợp với thuốc giảm đau và vật lý trị liệu.
  • Không có cách phòng ngừa cụ thể nhưng việc khám sức khỏe định kỳ, tầm soát ung thư vú và báo cáo các cơn đau xương bất thường là rất quan trọng.

>>> Xem thêm ảnh: Hình ảnh bệnh còi xương ở trẻ- Dấu hiệu và cách phòng chống

Nhận biết qua các hình ảnh bệnh Paget

Núm vú bị tụt vào trong là một triệu chứng bệnh Paget
Núm vú bị tụt vào trong là một triệu chứng bệnh Paget
Thuốc bisphosphonate là cách điều trị bệnh Paget xương
Thuốc bisphosphonate là cách điều trị bệnh Paget xương
So sánh hình ảnh bệnh Paget vú và bệnh chàm
So sánh hình ảnh bệnh Paget vú và bệnh chàm
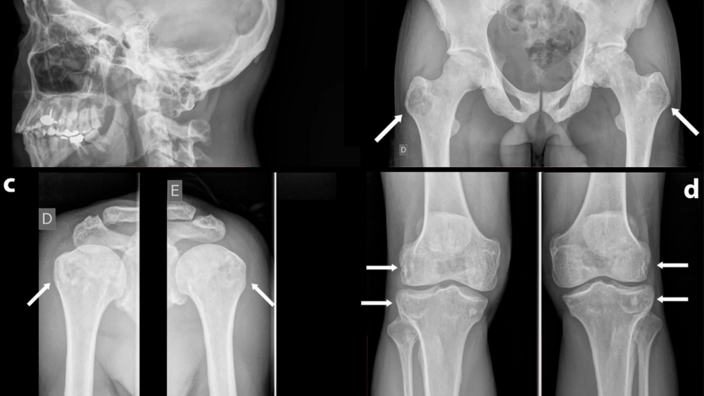
X-quang cho thấy sự biến dạng của bệnh Paget xương
X-quang cho thấy sự biến dạng của bệnh Paget xương
Hộp sọ bị ảnh hưởng bởi bệnh Paget xương
Hộp sọ bị ảnh hưởng bởi bệnh Paget xương
Hình ảnh tế bào học của ung thư vú dạng Paget
Hình ảnh tế bào học của ung thư vú dạng Paget
Minh họa cách điều trị bệnh Paget bằng phẫu thuật
Minh họa cách điều trị bệnh Paget bằng phẫu thuật
Hình ảnh tổn thương da điển hình của bệnh Paget vú
Hình ảnh tổn thương da điển hình của bệnh Paget vú

>>> Đừng bỏ lỡ: Bệnh máu khó đông- Hình ảnh và các dấu hiệu nhận biết sớm

Bệnh Paget ở vú và xương là hai tình trạng hoàn toàn khác nhau. Việc nhận biết sớm các dấu hiệu và đi khám kịp thời là yếu tố then chốt để điều trị hiệu quả.

>>> Khám phá thêm: Hình ảnh bệnh lang ben và cách điều trị dứt điểm ngay tại nhà


Hùng Nguyên

Khám phá bộ sưu tập ảnh bệnh của Hùng Nguyên với hình ảnh minh họa chi tiết, chân thực và có giá trị tham khảo, giúp người xem hiểu rõ hơn về các triệu chứng và kiến thức y học.


Để Lại Bình Luận Của Bạn

Địa chỉ email của bạn sẽ không được công bố. Các trường bắt buộc được đánh dấu *
×
Ảnh toàn màn hình