Một tổn thương da không lành có thể là dấu hiệu của bệnh lao. Đừng bỏ qua những hình ảnh và thông tin y khoa quan trọng này để phát hiện bệnh sớm và điều trị kịp thời.
Nguyên nhân chính gây ra hình ảnh bệnh lao da là gì?
- Bệnh gây ra bởi vi khuẩn Mycobacterium tuberculosis, cùng loại vi khuẩn gây bệnh lao phổi và các cơ quan khác trong cơ thể.
- Vi khuẩn có thể đến da thông qua đường máu hoặc bạch huyết từ một ổ lao nội tạng (phổi, hạch) đang hoạt động.
- Trong một số trường hợp hiếm gặp, vi khuẩn lao có thể xâm nhập trực tiếp vào da từ môi trường bên ngoài thông qua một vết thương hở.

Các triệu chứng chính của hình ảnh bệnh lao da cần chú ý
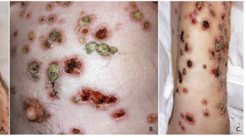
- Các tổn thương trên da rất đa dạng, có thể là dạng nốt sần, mảng thâm nhiễm, loét, hoặc áp xe, thường phát triển chậm và không đau.
- Một trong những dạng phổ biến là Lupus Vulgaris, biểu hiện bằng các nốt màu nâu đỏ, khi ấn kính vào có màu vàng nâu như "thạch táo".
- Dạng Scrofuloderma thường xuất phát từ hạch lao bên dưới, da bị vỡ ra tạo thành các lỗ dò và vết loét, để lại sẹo co rúm.
Chẩn đoán và điều trị bệnh lao da hiệu quả như thế nào?
- Việc chẩn đoán sớm là cực kỳ quan trọng, thường dựa vào các triệu chứng lâm sàng và các xét nghiệm chuyên sâu như sinh thiết da.
- Điều trị bệnh lao da về cơ bản là điều trị bệnh lao toàn thân bằng phác đồ phối hợp nhiều loại thuốc kháng lao trong thời gian dài.
- Bệnh nhân phải tuân thủ nghiêm ngặt chỉ định của bác sĩ, uống thuốc đều đặn và đủ thời gian để tránh kháng thuốc và tái phát.
>>> Gợi ý cho bạn: Hình ảnh bệnh whitmore - 'Vi khuẩn ăn thịt người' và dấu hiệu
Album hình ảnh nhận biết bệnh lao da







>>> Đừng bỏ lỡ: Hình ảnh bệnh ghẻ ruồi - Phân biệt với mụn nhọt thông thường
Lao da là một biểu hiện của bệnh lao toàn thân, cần được chẩn đoán và điều trị bởi bác sĩ chuyên khoa. Tuyệt đối không được tự ý điều trị tại nhà.
>>> Khám phá thêm: Hình ảnh bệnh tiêu chảy - Minh họa nguyên nhân và cách phòng ngừa