Cập nhật hình ảnh bệnh ghẻ cùng hướng điều trị hiệu quả

Tìm hiểu hình ảnh bệnh ghẻ và cách điều trị hiệu quả để thoát khỏi cơn ngứa dai dẳng. Bài viết cung cấp thông tin y khoa chính xác về nguyên nhân, dấu hiệu và biện pháp phòng ngừa.


  • Cập nhật: 07-10-2025

Đừng để ghẻ ngứa hành hạ cuộc sống của bạn! Khám phá hình ảnh bệnh ghẻ chi tiết và các phương pháp điều trị hiệu quả, giúp bạn nhanh chóng loại bỏ tác nhân gây bệnh.

Nguyên nhân chính gây ra bệnh ghẻ là gì?

  • Bệnh ghẻ do một loại ký sinh trùng nhỏ có tên là cái ghẻ (Sarcoptes scabiei) gây ra, chúng đào hang và đẻ trứng dưới lớp thượng bì da.
  • Cái ghẻ lây lan chủ yếu qua tiếp xúc trực tiếp da kề da kéo dài với người bệnh, đặc biệt là trong gia đình hoặc các khu vực đông người.
  • Môi trường sống tập thể, vệ sinh kém, dùng chung đồ dùng cá nhân cũng là yếu tố thuận lợi cho ghẻ lây lan nhanh chóng.
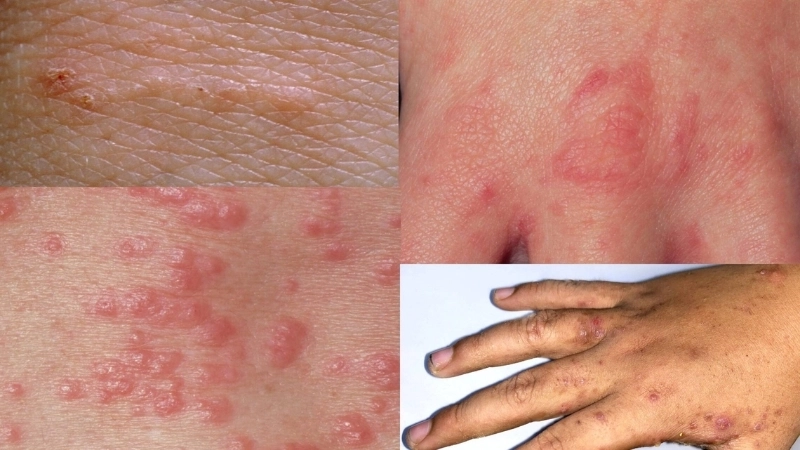
Đường hầm ghẻ và sẩn ngứa điển hình trên hình ảnh bệnh ghẻ.
Đường hầm ghẻ và sẩn ngứa điển hình trên hình ảnh bệnh ghẻ.

Các triệu chứng chính của bệnh ghẻ cần chú ý

  • Dấu hiệu bệnh ghẻ đặc trưng là ngứa dữ dội, đặc biệt là vào ban đêm khi cái ghẻ hoạt động mạnh, gây ảnh hưởng nghiêm trọng đến giấc ngủ.
  • Trên da xuất hiện các sẩn đỏ, mụn nước, rãnh ghẻ (đường hầm nhỏ do cái ghẻ đào) thường ở kẽ ngón tay, cổ tay, khuỷu tay, vùng bụng và bộ phận sinh dục.
  • Trường hợp bị nhiễm trùng thứ phát do gãi nhiều, các tổn thương có thể trở thành mụn mủ, loét hoặc hình thành ghẻ nước.

Làm thế nào để phòng ngừa bệnh ghẻ hiệu quả?

  • Vệ sinh cá nhân sạch sẽ, tắm rửa hàng ngày bằng xà phòng, đặc biệt là sau khi tiếp xúc với môi trường có nguy cơ lây nhiễm.
  • Tránh tiếp xúc trực tiếp da kề da với người đang bị ghẻ ngứa, và không dùng chung quần áo, khăn tắm hoặc chăn ga gối đệm.
  • Giặt giũ quần áo, chăn màn của người bệnh bằng nước nóng hoặc phơi nắng thật kỹ để tiêu diệt cái ghẻ và trứng của chúng.

>>> Đừng bỏ lỡ: Bệnh Rubella- Hình ảnh, triệu chứng và cách phòng ngừa lây lan

Những hình ảnh bệnh ghẻ hàng đầu mà mọi người đang tìm kiếm

Hình ảnh bệnh ghẻ ở trẻ em với các sẩn đỏ
Hình ảnh bệnh ghẻ ở trẻ em với các sẩn đỏ
Tác dụng của thuốc DEP trong điều trị ghẻ ngứa
Tác dụng của thuốc DEP trong điều trị ghẻ ngứa
Phân biệt ghẻ và mề đay qua hình thái tổn thươngPhân biệt ghẻ và mề đay qua hình thái tổn thương
Phân biệt ghẻ và mề đay qua hình thái tổn thươngPhân biệt ghẻ và mề đay qua hình thái tổn thương
Con đường ghẻ ngứa lây qua đường nào trong cộng đồng
Con đường ghẻ ngứa lây qua đường nào trong cộng đồng
Giải đáp thắc mắc ghẻ có tự hết không nếu không điều trị
Giải đáp thắc mắc ghẻ có tự hết không nếu không điều trị
Biểu hiện của bệnh ghẻ nước với các mụn nước li ti
Biểu hiện của bệnh ghẻ nước với các mụn nước li ti
Thuốc bôi ghẻ Permethrin và các loại thuốc đặc trị khác
Thuốc bôi ghẻ Permethrin và các loại thuốc đặc trị khác
Các cách trị ghẻ ngứa tại nhà và bằng thuốc
Các cách trị ghẻ ngứa tại nhà và bằng thuốc
Dấu hiệu bệnh ghẻ ở kẽ ngón tay và cổ tay
Dấu hiệu bệnh ghẻ ở kẽ ngón tay và cổ tay

>>> Gợi ý cho bạn: Bệnh hủi là gì- Hình ảnh, dấu hiệu và thông tin bạn cần biết

Nếu bạn nghi ngờ mình có các hình ảnh bệnh ghẻ tương tự, hãy đến gặp bác sĩ chuyên khoa da liễu ngay lập tức. Điều trị sớm và đúng cách là chìa khóa để thoát khỏi căn bệnh này và ngăn chặn lây lan cho những người xung quanh.

>>> Xem thêm ảnh: Hình ảnh bệnh Kawasaki ở trẻ em- Dấu hiệu và cách điều trị


Hùng Nguyên

Khám phá bộ sưu tập ảnh bệnh của Hùng Nguyên với hình ảnh minh họa chi tiết, chân thực và có giá trị tham khảo, giúp người xem hiểu rõ hơn về các triệu chứng và kiến thức y học.


Để Lại Bình Luận Của Bạn

Địa chỉ email của bạn sẽ không được công bố. Các trường bắt buộc được đánh dấu *
×
Ảnh toàn màn hình